Учёные СибГМУ разработали способ улучшить приживление костных имплантатов

Учёные СибГМУ провели исследование, в ходе которого выяснили, как улучшить регенерацию костной ткани в зоне контакта с имплантатами с помощью биологически активных веществ, выделенных из лекарственного растения соссюреи спорной.


Учёные СибГМУ провели исследование, в ходе которого выяснили, как улучшить регенерацию костной ткани в зоне контакта с имплантатами с помощью биологически активных веществ, выделенных из лекарственного растения соссюреи спорной. На основе полученных результатов в будущем будет возможно разработать лекарственные средства, позволяющие ускорить процесс приживления костных имплантатов.

Появление новых материалов, замещающих кость, и разработка дополнительных модификаций для них — актуальный вопрос для медицинских сфер, где применяются имплантаты. 

«Костная ткань — сложный биокомпозитный материал. Она, с одной стороны, состоит из клеток и межклеточного вещества, а значит обновляется и перестраивается в зависимости от потребностей организма, а с другой — содержит большое количество минеральных веществ, обеспечивающих её жесткость и механическую прочность. Большая часть материалов для производства костных имплантатов пытаются воспроизвести это сочетание гибкости и прочности.

При установке имплантата важно, чтобы он максимально интегрировался в кость — обрастал собственной костной тканью и сосудами, а в некоторых случаях в будущем замещался собственной костной тканью организма. Сама тема тестирования различных имплантатов и подбор материалов, улучшающих регенерацию кости, не нова, но всё ещё актуальна, так как наиболее оптимальный вариант всё ещё не подобран», — рассказывает ассистент кафедры морфологии и общей патологии, ассистент лаборатории клеточных и микрофлюидных технологий СибГМУ Екатерина Порохова.

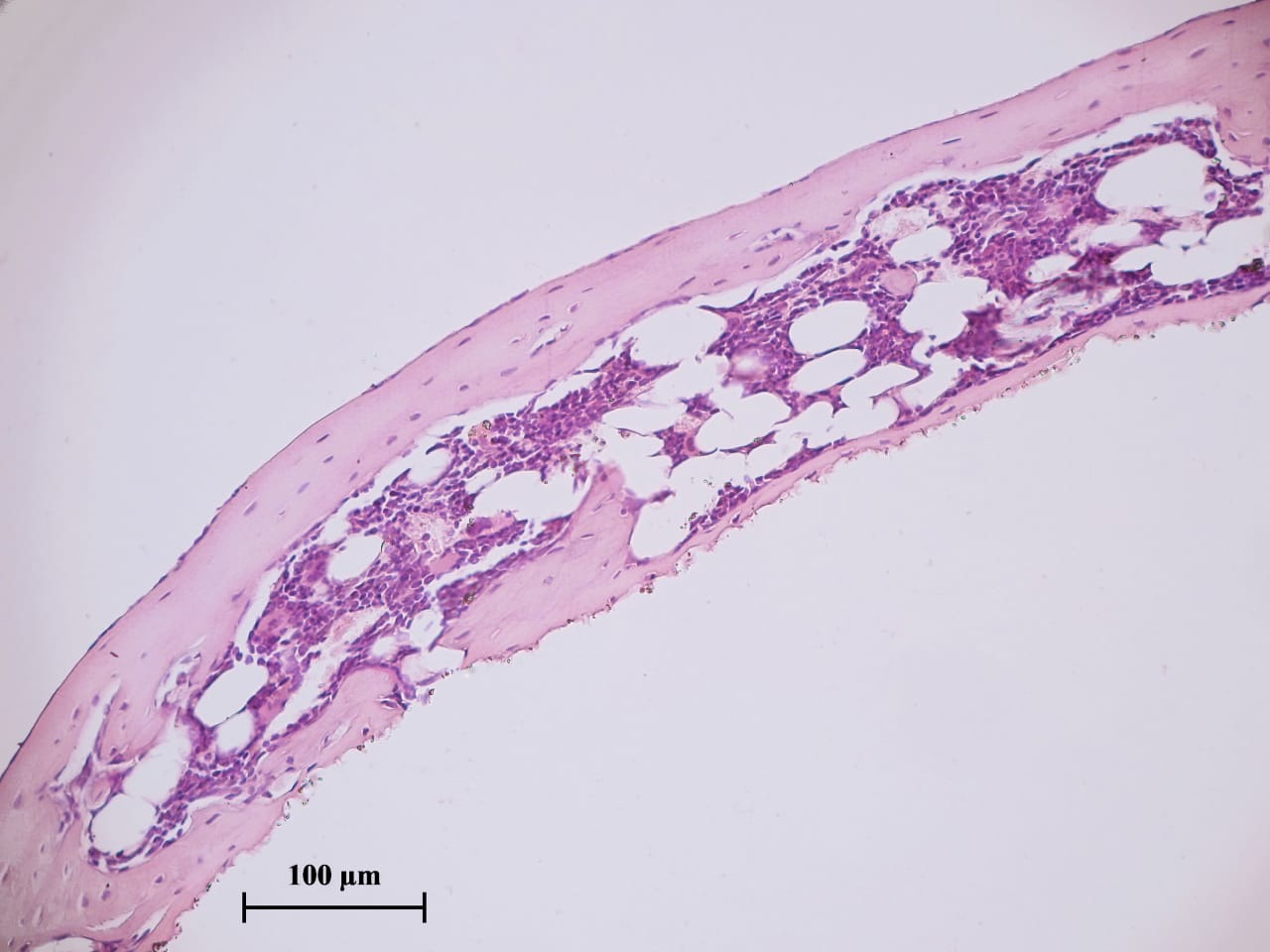
Для исследования учёные СибГМУ использовали титановые каркасы. Титан и его сплавы — популярные материалы для создания костных имплантатов, поскольку обладают ценными физико-химическими и физико-механическими характеристиками и не вызывают токсических эффектов после имплантации. Однако титан не обладает способностью усиливать регенерацию костной ткани в зоне имплантации, следовательно, не обеспечивает должный уровень интеграции имплантатов в кость. Чтобы имплантат приживался лучше, его поверхность модифицируют, например, наносят кальций-фосфатное покрытие и заселяют стволовыми клетками.

«Если говорить об особенностях регенерации кости, протекающей во взрослом организме, то мезенхимные стволовые клетки с большей долей вероятности становятся клетками волокнистой соединительной ткани (рубца) или клетками жировой ткани. Чтобы они стали клетками костной ткани их необходимо дополнительно стимулировать с помощью определенных биологически активных веществ (БАВ). Когда мезенхимные стволовые клетки, заселённые на поверхность имплантата, воспринимают эти БАВ, они “понимают”, что в данном регионе они “должны стать костными клетками”. В предыдущих исследованиях нами было выявлено, что перспективным источником таких БАВ является растение соссюрея спорная», — отмечает Екатерина Даниловна.

Соссюрея спорная (Saussurea controversa) давно используется в народной медицине Китая и Тибета для лечения заболеваний костей (ревматоидного артрита, остеомиелита, остеопороза), но механизмы воздействия БАВ этого растения на костную ткань всё ещё не известны. Данное лекарственное растение произрастает на территории Томской области, Хакасии, Красноярского края и других регионов России.

«Мы исследовали способность полисахаридов, флавоноидов и хелидоновой кислоты, выделенных из соссюреи спорной стимулировать формирование костной ткани и костного мозга на поверхности каркасов с кальций-фосфатным покрытием при имплантации лабораторным животным», — отмечает Екатерина Даниловна.

Таким образом, в ходе исследования под кожу мышам помещали небольшие титановые каркасы из титана с кальций-фосфатным покрытием. На каркасы наносили костный мозг, как источник мезенхимных стволовых клеток. Далее, в течение 45 дней, одну часть животных поили обычной водой, а другую — водной суспензией биологически активных веществ соссюреи спорной. Полученные результаты сравнили.

В результате учёные выяснили, что биологически активные вещества соссюреи спорной способны улучшить регенерацию костной ткани в зоне контакта с имплантатами. Продолжая исследования, учёные смогут разработать лекарственные средства, позволяющие ускорить и улучшить процесс приживления костных имплантатов.

Проект «Влияние биологически активных веществ Saussurea controversa на остеогенную дифференцировку мезенхимных стволовых клеток in situ» стал одним из победителей конкурса научно-технологических проектов молодых учёных СибГМУ, организованного в рамках реализации программы развития университета «Приоритет 2030». 

Руководитель проекта — ассистент кафедры морфологии и общей патологии, ассистент лаборатории клеточных и микрофлюидных технологий СибГМУ Екатерина Порохова. В работе принимали участие студенты четвёртого курса медико-биологического факультета СибГМУ Темур Насибов и Анна Горохова. Биологически активные вещества соссюреи спорной были получены на кафедре фармацевтического анализа СибГМУ под руководством доктора фармацевтических наук, доцента кафедры Елены Авдеевой. Курировал работу доктор медицинских наук, профессор кафедры морфологии и общей патологии, руководитель лаборатории клеточных и микрофлюидных технологий СибГМУ Игорь Хлусов.

Последние новости

Как защитить частотный преобразователь от скачков напряжения?

Практическое руководство по сохранению оборудования и денег — узнайте, как защитить частотник от опасных скачков напряжения и продлить срок его службы.

Прокуратура г. Стрежевого Томской области через суд потребовала возместить местной жительнице денежные средства, затраченные на покупку льготного лекарства

Прокуратура г. Стрежевого Томской области провела проверку по обращению 52-летней местной жительницы о нарушении ее прав на льготное лекарственное обеспечение.

В Каргасокском районе Томской области благодаря вмешательству прокуратуры теплоснабжающее предприятие погасило долги по заработной плате и по исполненным контрактам в общей сумме б

Прокуратура Каргасокского района Томской области на постоянной основе осуществляет надзор за исполнением законодательства в сфере жилищно-коммунального хозяйства.

Куда пойти с детьми в Уфе: 10 весёлых мест на выходные

Идеи для семейного отдыха в столице Башкортостана — от активных игр до познавательных музеев

На этом сайте вы найдете актуальные вакансии в Елабуге с предложениями работы от ведущих работодателей города

Комментарии (0)

Добавить комментарий

Ваш email не публикуется. Обязательные поля отмечены *